Full Mouth Reconstruction

Revitalize Your Smile, Restore Your Confidence with
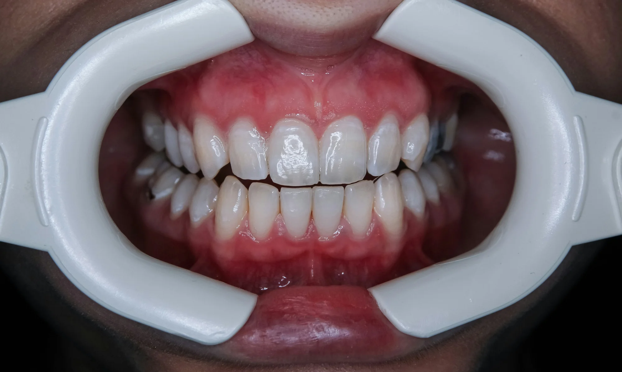
Full Mouth Rehabilitation

What is Full Mouth Rehabilitation?

Full Mouth Rehabilitation (FMR) is a comprehensive dental treatment approach where all teeth (or most of them) are restored or replaced. It focuses on rebuilding function, improving aesthetics, and restoring oral health, especially when teeth are severely damaged, missing, or worn down.
What is Full Mouth Rehabilitation?
Who needs its Full Mouth Rehabilitation

Who needs it?

  • People with many missing or damaged teeth
  • Those with worn-down or fractured teeth
  • Patients with gum disease or bite issues
  • Anyone wanting to restore both function and smile
Benerfits of Full Mouth Rehabilitation

Benefits of Dentures

  • Restores chewing and speech
  • Improves bite and jaw comfort
  • Enhances smile aesthetics
  • Protects teeth from further damage
  • Boosts confidence and overall oral health

Treatment Options for Full Mouth Rehabilitation

Depending on the condition, FMR may include a combination of:

Crowns and bridges

Dental implants

Veneers

Dentures
(partial or complete)

Periodontal and endodontic treatments

Orthodontics
(in some cases)

Reclaim function. Redefine beauty. Begin your journey today.

Call now +91 9869563311
Procedure

Procedure

  • Comprehensive Evaluation - Dental and medical history, clinical exam, X-rays, scans, impressions
  • Treatment Planning - Customized plan combining restorative, surgical, and cosmetic treatments
  • Foundation Treatments - Gum therapy, extractions, bone grafts (if needed)
  • Restorative Phase - Placement of crowns, bridges, veneers, dentures, or implants
  • Final Adjustments - Bite correction, polishing, and long-term maintenance.

FAQs

With modern anesthesia and sedation, procedures are comfortable and well-managed.
It can take a few weeks to several months depending on the complexity (implants, healing time, etc.).
No, FMR is suitable for anyone with severely compromised teeth, regardless of age.
With proper care and regular checkups, results can last decades.
No—while a smile makeover is mainly cosmetic, FMR restores both function and aesthetics.

Schedule your Visit

Find us at

Stoma Advanced Dental Care 534, 2nd Floor, Bombay Mutual Terrace, Sandhurst Bridge, Opera House, Mumbai 400007. Get Directions
Monday to Saturday - 9:30 AM to 7 PM

Our Affliations

We work with the best, for you

At SDC, our doctors are recognized by the leading industry and organizations, and work with the best clinical partners, labs and safety technology to provide you top- notch dental care.

stoma793

Copyright © 2025 Stoma Advanced Dental Care All Rights Reserved.